Before and After

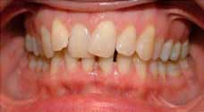
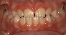
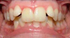
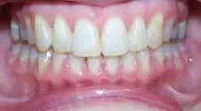
Case 1

Teeth Alignment Before Treatment Teeth Alignment After Treatment

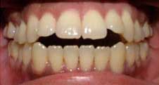
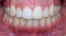
Case 2

Teeth Alignment Before Treatment Teeth Alignment After Treatment

Case 3

Teeth Alignment Before Treatment Teeth Alignment After Treatment

Case 4

Teeth Alignment Before Treatment Teeth Alignment After Treatment

Case 5

Teeth Alignment Before Treatment Teeth Alignment After Treatment

Case 6

Teeth Alignment Before Treatment Teeth Alignment After Treatment

Case 7

Teeth Alignment Before Treatment Teeth Alignment After Treatment

Case 8

Teeth Alignment Before Treatment Teeth Alignment After Treatment